歯並びが気になる前歯を部分矯正で改善した症例
歯並びが気になる前歯を部分矯正で改善した症例
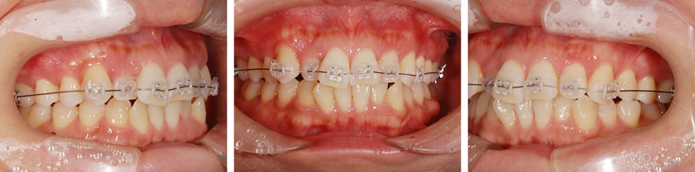
こちらの患者さまは、「上の前歯の凸凹が気になるので、それだけを治したい」とのことで当院を受診されました。確かに上の前歯に凸凹があります。
ご相談の結果、ワイヤー矯正にて治療することとなりました。
矯正治療の実施
上の歯だけ、最小限度に装置を設置します。所要時間は40分程度でした。本来ならば下の歯にも装置をつけるべきではありますが、ご本人が気にされているのは上の歯だけでした。
そこで、最小限の介入とすべく、上の歯だけで矯正治療を進めてくこととしました。ただし、「どうしても支障が出そうな場合にはそこで下の歯にも装置を設置する」という計画変更の可能性も事前にご了承いただきました。
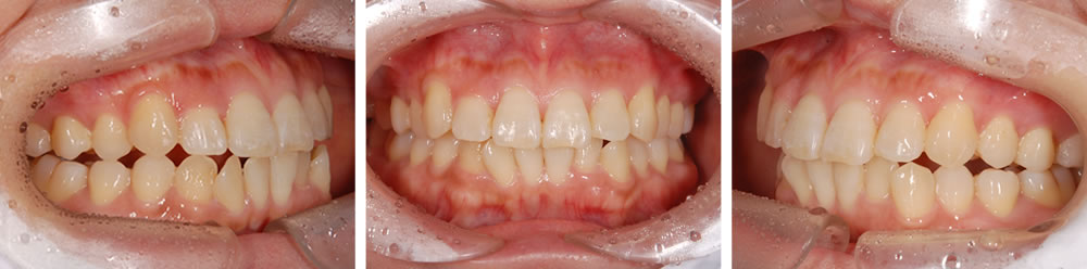
矯正治療の終了
矯正治療開始から6ヵ月目。ご本人のご希望に沿った歯並びに到達したため、装置を外しました。
リテーナーの装着(歯の保定)
なお、矯正治療終了後も後戻りを防ぐためにリテーナーを装着していただく必要があります。
ケースバイケースですが、この方の場合は最初の半年間だけ1日なるべくフルタイムで装着していただき、安定してから夜だけの装着、としました。
| 年齢/性別 | 20代女性 |
|---|---|
| 治療期間 | 6ヵ月 |
| 治療回数 | 10回 |
| 治療費 | 510,000円(税込561,000円) |
| リスクなど | ・治療後の歯並びはある程度は予測がつきますが、完全に当てることは不可能です。・必要に応じて抜歯やIPR(歯と歯の間を削る)が必要になる場合があります。しかも治療前に全てを予見することも不可能です。 ・捻じれている歯は、必ずしも正常な向きに治せるとは限りません。その場合は無理のない範囲で歯を並べることになるため、見た目に左右差が生じる場合があります。 ・矯正治療後の歯並びの見え方は一律ではありません。これは、元々の歯の状態、歯並び、骨格など、人それぞれで状態が違うためです。つまり、顔がひとそれぞれ違うように、歯並びも個性を反映したものになります。 ・必ずしもご希望の歯並びになるとは限らないため、担当医とよく相談し、イメージをすり合わせておくことも大切です。 ・歯の移動に伴って一時的な痛みが出る場合があります。 ・歯がもともと骨に癒着していて動かない場合がまれにあります。 ・虫歯・歯周病の発生や歯根吸収のリスクがあります。 ・甘いものを食べたり飲んだりする習慣がある場合や、もともと歯ブラシ・デンタルフロスのやり方が良くない場合、虫歯や歯周病のリスクが高まります。 ・治療後に歯肉が下がる場合があります。 ・治療後はリテーナーを使用しないと歯の後戻りの可能性が高いです。 |






