なるべく抜かない治療
このページの目次
可能なかぎり天然歯を抜かないための治療に努めています

歯を失った際の咬み合わせの修復には、インプラントや入れ歯、ブリッジなどの治療法が存在しますが、残念ながら天然の歯に勝る治療法はありません。そのため、千歳烏山KI歯医者ではできるだけ天然歯を抜かないことをモットーに治療に取り組んでおります。全てのケースにおいて、抜歯を回避することは困難ですが、適切な治療法の選定や歯科医師の技術によって、残存できる可能性を高めております。当院が取り組む抜歯回避のための方法をご説明致します。
虫歯による抜歯を回避するための方法
虫歯が重症化した場合、抜歯リスクが高くなります。千歳烏山KI歯医者では、症状に適した処置を実施することによって、できる限り天然歯を抜かないよう努めております。
精度の高い根管治療の実施

重度の虫歯には、視野を拡大できるマイクロスコープをはじめ、細菌の感染予防のためのラバーダム、的確な感染物質の除去が可能なチタンファイルなどを用いて、精密な根管治療を実施します。再発リスクを最小限に抑え、歯の存続率を高めます。
MTAを用いた神経保存治療

神経に虫歯菌が達した際にも、MTAセメントを用いた覆髄処置によって神経を保存できる可能性があります。神経を抜いた歯は、脆くなり、将来的な抜歯リスクを高めてしまうことになるため、殺菌効果の高いMTAで患部を覆い、虫歯菌を不活性化することで神経の保存を試みます。
歯根端切除術による症状改善

歯根の先端に膿の塊ができる根尖性歯周炎では、通常の根管治療では改善が難しい場合が多く、抜歯と診断されることがあります。当院では、このような場合に歯茎を切開し、膿の摘出と感染部分の切除を行う「歯根端切除術」によって、歯を抜歯から守ります。
歯根分割抜去法の実施

歯根分割抜去法は、歯根が複数ある大臼歯(奥歯)などに行う治療法です。問題のある歯根だけを部分的に切除・抜歯することによって、歯全てを抜かずに保存します。歯根が2本の場合には、歯の1/2を切除するヘミセクション、歯根が3本の場合には、歯の1/3を切除するトライセクションを行います。※歯根の数によって呼び名が変わります。
エクストルージョン法の実施
これまでの虫歯治療に伴う切削によって、歯質が歯茎より上に残っていない場合には、被せ物が安定せず、抜歯を診断されることとなります。このような場合には、歯肉に埋まった残存歯質を上に引っ張り上げ、土台として機能させることによって、歯の保存に努めています。
当院で実施したエクストルージョンの症例(20代:女性)
左上前歯がぐらつくとのことでご来院されました。
【表側】白いかぶせ物と歯肉の境目に少し焦げ茶色のラインが見えます。
【裏側】かぶせ物と歯の間に隙間があいていました。
①レントゲン診断
レントゲン写真でもかぶせ物(白く写っている部分)と歯根の間に隙間があるのがわかります。さらに中の土台部分の周囲にも薄い黒い線が見え、土台自体も外れかかっているのがうかがえます。
このままの状態で咬み合わせの回復を行うには、フェルール(かぶせ物の安定に必要な歯の健康な部分)が不足しているため、エクストルージョン(矯正的歯の廷出)により、それを増大させることにしました。
歯根の長さは15.6mmあったので施術可能なことも確認した上での決定です。
②エクストルージョン(矯正的歯の廷出)の実施
まずは、古いかぶせ物と土台を丁寧に外します。その後、歯肉の下に埋まった歯根に金具を装着し、ゴムの力で歯根を少しずつ引き上げていきます。歯の表側は仮歯を両隣の歯と接着し、装置が見えないようにします。
③エクストルージョン(矯正的歯の廷出)の終了
エクストルージョン開始から2か月半。歯が3.3mm動いたことがレントゲンでも分かります。
これ以上行うと歯が短くなりすぎるため、ちょうど必要量のフェルールを確保できたタイミングでエクストルージョンを終了しました。
④歯肉整形の実施
歯根が引き出されましたが、それに伴って歯肉と骨も一緒に増えました。エクストルージョンでは当たり前の現象ですが、このままかぶせ物をつくると左右の歯肉のラインに差が出てしまいます。
これではシンメトリー(左右対称)にはならず、審美性が低下してしまいます。患者さんにご相談した結果、歯肉整形を行うことになりました。
⑥歯肉整形から3ヶ月後:最終的なかぶせ物の作成
術後から3ヶ月後、歯肉の状態も落ち着いたので、最終的に装着するかぶせ物をセラミック(emax)で作成しました。emaxはもともと奥歯用の素材であるため、歯の色が暗めになってしまう傾向があり、今回もいまひとつ調和が取れていなかったため、再度写真を撮り、歯科技工士さんに色を修正してもらいました。金額的な制約から仕方ないのですが、技工士ともども苦労した部分でもあります。
⑦かぶせ物を装着して治療完了
完成したセラミックのかぶせ物を装着して治療完了です。歯肉の腫れも赤みもなく、安定しています。ここまで8ヶ月近くかかりましたが、エクストルージョンによって、なんとか抜歯を回避することが出来ました。天然歯と見分けがつかない程自然な仕上がりに、患者さんにも大変喜んでいただけました。
| 年齢/性別 | 20代/女性 |
|---|---|
| 治療期間 | 8ヶ月 |
| 治療回数 | 13回 |
| 治療費 | エクストルージョン 100,000円(税込110,000円) ファイバーコア 26,000円(税込28,600円) emaxクラウン 115,000円(税込126,500円) |
| リスクなど | ・歯と骨がくっついていた場合はエクストルージョンができないが、それは施術してみないと分からないことがある。 ・エクストルージョンにより相対的に歯が短くなるため、歯根破折のリスクが残る。 ・根尖病巣が将来発生する可能性がある。 |
症例の担当者のご紹介
歯周病による抜歯を回避するための方法
現在、成人の抜歯原因1番となる歯周病は、初期症状がほとんどないまま進行し、歯を支える骨を溶かすことによって、抜歯となるおそろしい病気です。重症化した歯周病に対しても、しっかりと症状を見極め、適切な処置を施すことで抜歯回避に努めております。
拡大視野で的確な歯石除去

歯周ポケットの内部に付着した歯石や肉眼では確認が難しい細部の歯石には、マイクロスコープや歯科拡大鏡を用いた拡大視野の下で、取り残しのない的確な処置を実施致します。歯周病悪化の原因となる歯石の除去を徹底することで、症状の改善を図ります。
再生療法で骨の修復

歯周病の重症化に伴い、歯を支える骨が失われてしまった場合にも、エムドゲインを用いた歯周組織再生療法を施します。歯を支える骨や周辺組織の再生を促し、歯をしっかりと安定させます。
歯周外科の実施で症状改善

歯周ポケットの奥深くに付着した歯石の除去は、一般的な処置では適切に行えず、改善が難しいため、歯周外科治療にて対応します。麻酔をした後に、歯肉を開き、歯周ポケット内部を目で確認しながら、精度の高い歯石の除去を行います。
ブルーラジカル(非外科的歯周病治療)

東北大学が開発した「ブルーラジカル P-01」は、厚生労働省に認可された世界初の非外科的歯周病治療機器です。 過酸化水素と青色光により活性酸素(フリーラジカル)を発生させ、歯周病菌を効率的に殺菌します。さらに、超音波振動によって歯石やプラークを除去することで、重度歯周病の症状改善や抜歯の回避が期待できます。
根尖病巣・歯根破折などの症状にも適切な治療法をご提案します
歯根の先端(根尖)に細菌感染が起こり、炎症や膿がたまる「根尖病巣」や、歯根にひびや割れが生じる「歯根破折」は、症状によっては改善が難しく、多くのケースで抜歯が選択されます。
しかし当院では、そのようなケースにおいても、可能な限り抜歯を回避するための治療法をご提案できる場合があります。
再植術

歯根の先端(根尖)に細菌感染が起こり、炎症や膿がたまる根尖病巣については、マイクロスコープを用いた根管治療を行っても、改善が難しいケースがあります。
そのような場合、最終的な選択肢の一つとして、歯を意図的に抜去した後、炎症の原因となりうる部分を削り取り、特殊なセメント等で修復した後、元の場所に埋め込む再植術を実施する方法もあります。再植術には一定のリスクが伴いますが、適応が見込める場合には、治療の選択肢としてご提案することがあります。
破折歯接着治療

破折歯接着治療とは、割れたりヒビが入った歯をできる限り抜かずに残すことを目的に考案された治療法です。破折した歯を意図的に抜歯したうえで、歯科用の接着剤を用いて修復し、元の位置に戻すことで歯の保存を目指します。
従来はほとんどのケースで抜歯と判断されていた破折歯でも、接着技術の進歩により、歯を保存できる可能性があります。
※破折の位置や状態によっては接着治療が適応できない場合があります。
※本治療は医療行為であり、治療結果を保証するものではありません。
※本治療は治療費の保証は一切なく、返金対応もできませんので、あらかじめご留意ください。
歯牙移植による咬み合わせの回復にも対応
歯根破折等で抜歯となった際にも、親知らずなどの不要な歯が健康な状態で残っている場合には、移植による咬み合わせの修復をご提案致します。
自身の歯を活用する方法のため、以前と変わらない感覚で生活出来るのが特徴です。
抜歯寸前の歯を再植術によって保存した症例(50代:女性)
▼抜歯リスクの高い歯根先端部分に膿が溜まる症状(根尖病巣)を、再植術によって改善した症例をご紹介します。
①初診時の口腔内
50代女性。左上のブリッジ(銀歯)が痛くて噛めないとのことで来院されました。
レントゲン撮影をしたところ、一番奥の歯と銀歯の間が黒くなっているように見えます。どうやら銀歯の内部で虫歯になっている可能性が考えられました。また、歯根の先に大きな黒い影が見えたため、膿んでいることが予想できました。
より詳しく検査した結果、歯根周辺に「病巣」を確認しました。
赤く囲った部分が膿んでいる部分です。かなり大きいサイズであることが分かります。一般にこのような病巣は大きいほど治りが悪いことが知られています。
そのため、治療前から非常に厳しい状態であることが想像できました。
②根管治療(歯の根の治療)の実施
患者さんは「インプラントはしたくない」とのことでしたので、ブリッジで咬み合わせを回復する治療計画を立て、先ずはマイクロスコープを使用して根管治療を行いました。
③ファイバーコアを装着
ファイバーコアを装着したところです。手前の歯は仮歯をひとまず作りました。一番奥の歯は病巣が大きいので治りにくいと予想されました。そのため、できるだけ治りを良くするべく、半年ほどはあえて噛めないようにして安静を図りました。
⑤再植術の実施
意図的に歯を抜いたところです。歯を抜く際も、気をつけないと歯が折れてしまう危険性があるため、慎重かつ丁寧に抜歯しました。
抜いた歯を見ると、歯根の先が黒くなっています。ここを中心に炎症が広がっていることがわかりました。乾燥させないために生理食塩水で湿潤状態を保ち、歯の表面の歯根膜細胞をできるだけ死滅させないよう、最大限の注意を払っています。
念のため、さら1ヵ月ほど経過を見ましたが問題なかったため、歯型を取って本歯の製作に取りかかりました。
⑥ブリッジの製作
金属アレルギーがあるため、金属を一切使用しないジルコニアSクラスブリッジを選択されました。製作はジルコニアセラミックス東京の齋藤氏です。いつもながら歯の解剖学的な形がしっかり再現されています。同時に機能的にも患者さんご自身でケアしやすいよう設計してあります。
ブリッジの内面です。歯とのつなぎ目がきれいな曲線となり、一筆書きで明確にたどれるようになっています。歯科医師と歯科技工士双方の技術が合わさらないとこのような滑らかな線や面にはなりません。
これを実現することで、歯とブリッジの境目にできる隙間を10数ミクロンレベルにまで狭めることが可能となり、虫歯や歯周病のリスクを最小限に抑えることができます。
⑦セラミックブリッジを装着して治療完了
ブリッジを装着したところです。違和感もなくなっており、見た目もきれいになりました。
「時間はかかったものの、頑張って治療して良かった」と患者さんにも大変満足いただました。「インプラントせずに歯を作りたい」というご要望にお応えできて私も安堵しました。
| 年齢/性別 | 50代女性 |
|---|---|
| 治療期間 | 11ヵ月 |
| 治療回数 | 11回 |
| 治療費 | マイクロスコープ根管治療79,200円×2本分(税込) ファイバーコア27,500×2本分(税込) ジルコニアクラウンSクラス154,000円×3本分(税込) 再植術110,000円(税込) |
| リスクなど | ・根管治療した歯が再度炎症を起こす可能性がある。 ・意図的に抜歯する際、歯根が破折するリスクがある。 ・再植した歯が定着しない場合があり、定着しても歯根吸収や炎症の再発が起きる場合もある。 ・ブリッジのセラミックが欠けたり割れる可能性がある。 ・長期使用によるブリッジの経年劣化によって交換する必要が出る可能性がある。 |
症例の担当者のご紹介
本来なら抜歯すべき破折歯を接着して延命を図った症例
こちらの患者さんは、上顎の奥歯が折れ、他の歯科医院で「抜歯しかない」と診断されました。しかし、「どうしても歯を抜きたくない」という強いご希望があり、何とか残せないかと当院を受診されました。
初診時の口腔内
実際にその歯を診てみると、中央に大きな銀の土台が入ってはいるものの、その周囲の歯との境目から歯が裂けている状態でした。こちらの写真からもはっきり確認いただけると思います。
また、歯と歯の間に汚れも多く付着していました。
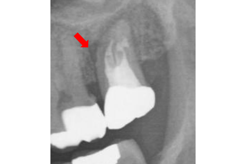
レントゲン画像を診ると、歯根の先に黒い影が広範囲にわたって広がっていました(赤矢印)。また、歯が折れている部分も写っていました(黄矢印)。
そのため、今現在の医学では抜歯と診断するのが原則となっております。
割れ目の部分をさらに拡大して観察すると、溝がかなり深そうです。やはり抜歯が妥当であることは間違いありません。
しかし、患者さまは「それでも何とか歯を抜かずに残したい」と強く希望され、可能な方法があれば対応してほしいとのことでした。
そこで、完全にチャレンジにはなりますが、折れた歯を接着修復して温存する治療を行うこととしました。そのかわり、次の点を患者さんにご同意いただきました。
折れた歯を接着修復して温存する治療(破折歯接着治療)の注意点
本来は破折している歯は抜歯するものです。それを接着修復して温存する治療法は、将来いつ再びダメになるか?全くわかりません。すぐにダメになるリスクも当然あります。
よって治療費の保証は一切ありませんし返金もできません。
仮に温存できたとしても、違和感もしくは弱い痛みが多少残る可能性もあります。その症状が出てしまったら抜歯以外にはもはやどうにもできません。また、その歯の周囲の顎の骨が溶けて、将来インプラントをご希望されても施術できない可能性もあります。
破折歯をわざと抜く際に歯が粉々になるリスクもあります。その場合は温存失敗で、そのまま抜歯になってしまいますが、これは施術してみないとどうなるかわからないものです。
ですから、どんな結果になろうとも受け入れていただく心の準備が必要です。
※これら全てにご同意いただけないと施術はできません。
折れた歯の接着修復して温存する治療(破折歯接着治療)の実施
歯を抜いたところは穴になりますが、その穴の中に不良肉芽と呼ばれる炎症性組織がかなりありました。それらをしっかり剥ぎ取っておかないと、歯を戻しても定着しないリスクがあります。取り残しがないよう、念入りに不良肉芽を除去していきます。
抜去した破折歯を手で優しく持って、虫歯や汚染されている部分をきれいにしていきます。ここからは一層スピードと正確さの両方が要求される作業となります。
折れた歯をきれいにした後、できるだけ元の位置に戻して接着します。「できるだけ」と表現したのは汚染された部分の歯を削ったことにより、完全に元の形に戻らないから、という理由です。
この施術でポイントになるのが歯根膜という組織です。歯根の表面にある膜のような組織で、乾燥させてしまうと細胞たちが死滅してしまいます。
そのため、施術はできるだけ迅速かつ繊細に行わなければなりません。また、乾燥させないよう適宜歯根の表面を濡らす必要もありますから、かなり忙しい治療でもあります。
さらに接着処置を行う必要があるため、その工程では一時的に乾燥させなければならないという矛盾も抱えています。歯根膜細胞の保護と接着操作という相反する条件の中で、スピードと正確性の両立が求められ、極めて慎重な操作が必要となる点が、この治療をとりわけ難しくしています。
かぶせ物の製作
歯型を採って石膏模型を作ります。ここからかぶせ物を作りますが、かぶせ物の製作は歯科技工士さんの作業になります。
今回はIDEAの西和田氏に依頼をしました。彼は歯科技工士学校を首席で卒業し、有名な歯科技工所で修練を積んでトップクラスに至った大変優秀な方ですので、いつも安心して依頼できます。
かぶせ物の装着・治療完了
かぶせ物を装着した直後の写真です。歯肉がだいぶきれいで赤味もなく、腫れもほとんどない状態です。歯根が折れていた状況からすると、かなり良好に回復したと言えます。なぜなら、現代医学では歯根破折してしまうと、抜歯するのが常識だからです。
つまり、ここまで回復することは考えられない、というのが通説なのです。ただし、くれぐれも誤解してはいけない点ならびにご理解いただかねばならない点がいくつかあります。
そもそも本症例は、診断上は抜歯となるレベルの状態であり、治療によって歯が100%元の状態に回復することはありません。そのため、術後も多少の違和感が残るなど、何らかの不快症状が生じる可能性があることは、あらかじめご理解いただく必要があります。
※本治療は医療行為であり、治療結果を保証するものではありません。
歯根破折に対する治療は、あくまで歯を残すための時間的猶予を得ることを目的とした対応です。結果として10年程度機能すれば理想的ではありますが、再度破折が生じる時期を予測することはできません。また、将来的に破折が起こらないことを保証する治療ではない点をご理解いただく必要があります。
これらをご理解いただけない場合は、歯根破折の接着修復治療をできませんのでご留意ください。
治療から約1年半後のレントゲン写真・CT画像
この写真だけですと、歯根の一部に黒い影が見られますが(赤矢印)、おおむね良好に見えます。
患者さんも「全く問題なく歯を使えている」とおっしゃっておられました。私としては信じられないような回復ぶりに驚いた次第です。
しかし、CT撮影してみると先ほどのレントゲンよりも黒い影(顎の骨が吸収している)の範囲が広かったことが確認できました。
ですが、幸い手前の歯までは広がっておらず、歯を支えている顎の骨も何とか維持できている(青矢印)ので、その点はかろうじて及第点かと思います(抜歯を回避して1年半経過したという意味で)。
とはいえ、今後この顎の骨が吸収している範囲が広がっていかないか?日常生活に支障が出るような症状が再び出てこないか?はやはり心配ですので、引き続き要観察だと考えております。
| 年齢/性別 | 40代女性 |
|---|---|
| 治療期間 | 4ヵ月 |
| 治療回数 | 11回 |
| 治療費 | 歯根破折歯接着修復治療(口腔外) 120,000円(税込132,000円) ファイバーコア 31,900円(税込31,900円) ゴールドクラウン(大臼歯)147,000円(税込161,700円) |
| リスクなど | ・本治療は治療費の保証は一切なく、返金対応もできませんので、あらかじめご留意ください。 ・治療が終わっても100%の治癒はあり得ません。何かしら違和感、歯の動揺、部分的な歯肉の腫れなどの不快症状が残る可能性が高いです。 ・治療した歯が再度歯根破折を起こす可能性があります。しかもいつ再度破折するか?も全く予測ができません。 ・意図的に抜歯する際、歯根がさらに破折し、接着修復治療ができなくなるリスクがあります。 ・再植した歯が定着しない場合があります。また、定着しても歯根吸収や炎症の再発が起きる場合もあります。 |
症例の担当者のご紹介
世田谷区千歳烏山で抜歯回避にこだわった歯科医院をお探しの方へ

千歳烏山KI歯医者では、患者さんの財産である天然歯を、生涯に渡り維持していただけるよう、出来るだけ抜かない治療にこだわっています。全ての症例に対して、絶対と言う処置はございませんが、可能な限り抜歯から歯を守れるよう、症状に対して適切な治療法をご提案致します。世田谷区千歳烏山で、歯の保存に力を入れている歯科医院をお探しの方はぜひ、当院までお気軽にご相談ください。








































