矯正・インプラント・セラミックによる長期経過症例
矯正・インプラント・セラミックによる長期経過症例
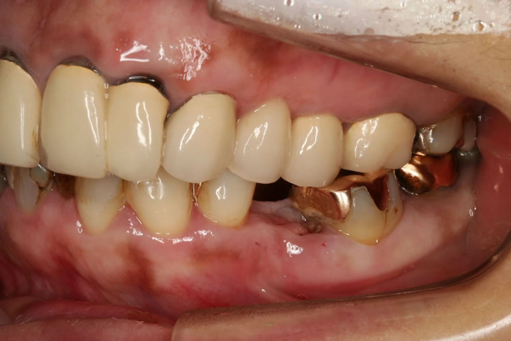
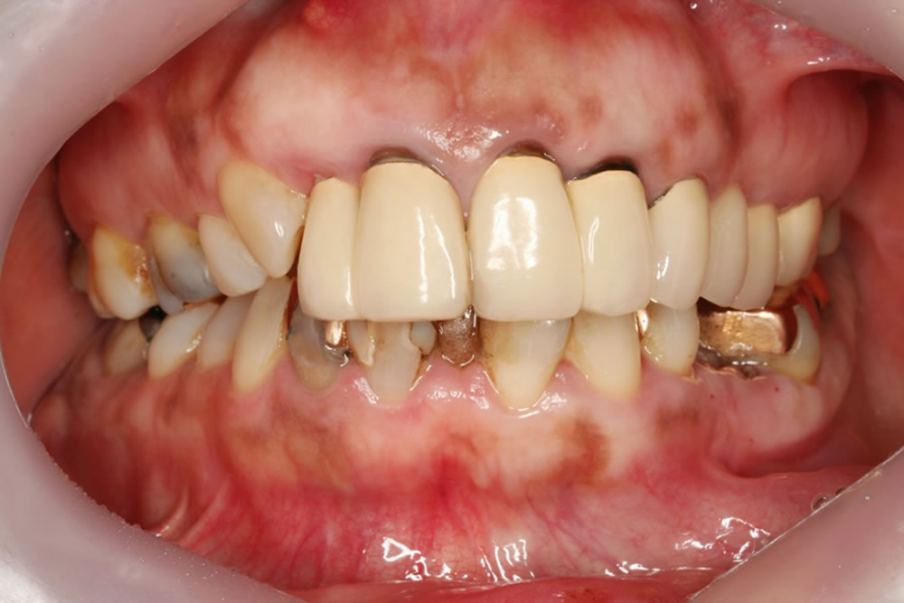
こちらの患者さんは、左下の歯が折れたことを主訴に来院されました。「見た目をきれいにしたい」「長期的に歯が長持ちするように治したい」とのご希望がありました。
上の前歯のサイズが不規則になっており、歯とセラミックの境目も露出して黒ずんで見えていました。全体的に軽度から中等度の歯周病もありました。
また、かみ合わせも左右で高さがずれてしまっていました。
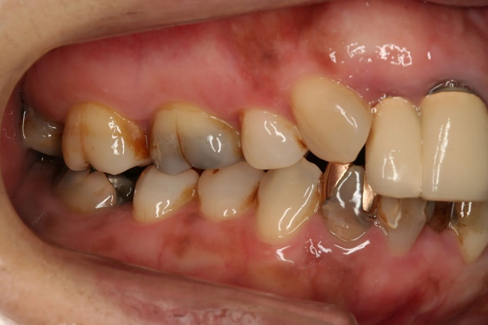
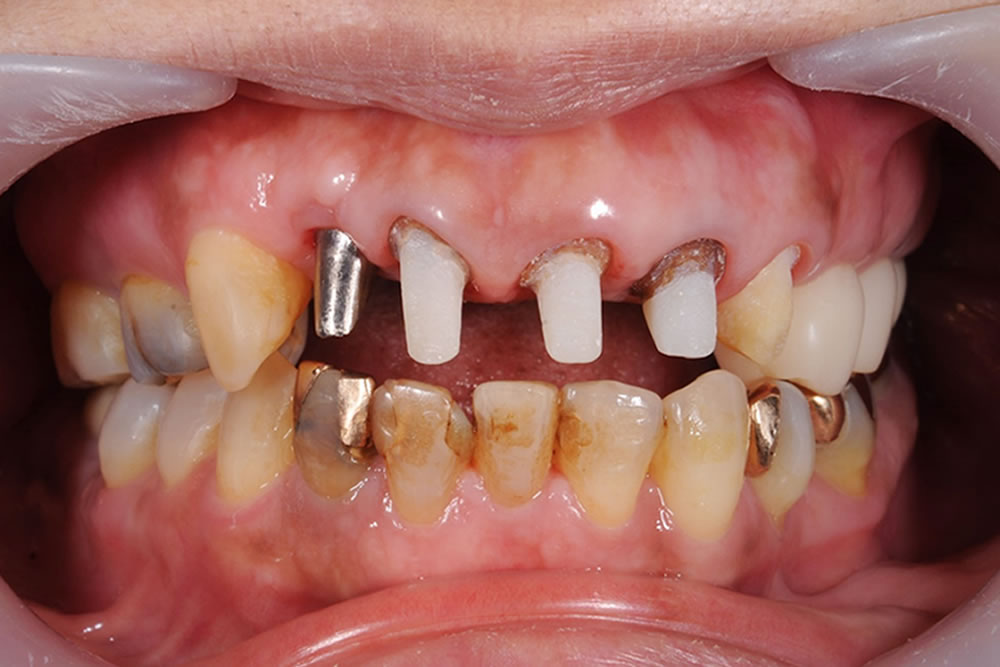
ブリッジを除去して仮歯を装着
上に入っていた大きなセラミックのブリッジを全て外して歯の内部をきれいにし、いったん仮歯にしたところです。ただ、これだけでは歯のサイズを修正することはできません。
そのため歯列矯正を行って歯の位置とかみ合わせを整えることとしました。なお、右上前歯の小さい歯はこの時点であまり良くない状態ではありましたが、患者さんのご希望で温存しました。(青矢印)
便宜抜歯・矯正治療の実施
上の歯がかなり前に出ている状態でしたのでやむを得ず上の小臼歯を左右1本ずつ抜歯した上で矯正治療を開始しました。
歯周病外科治療の実施
歯周外科により、非外科的な治療では治せなかった歯周ポケットの除去を行うとともに、歯磨きがしやすい環境を整え、見た目も左右差ができるだけ無くなるよう計算しながら歯肉のラインを設定しました。
矯正治療開始から2年後
歯の移動が終わって最終段階です。先に上の歯の装置だけ外し、かみ合わせが自然に落ち着くのを確認します。
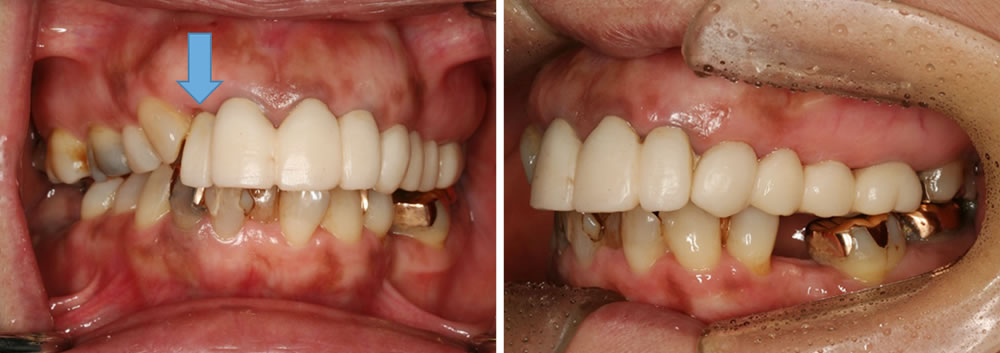
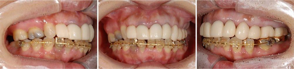
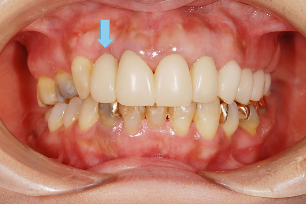
仮歯の更新
矯正治療が終わり、かみ合わせも安定したことを確認した上で、上の歯に入れていた仮歯を更新しました。
また、ここまでの間に当初から歯が残せるかどうか大変厳しい状態にあった右上の前歯がついに寿命を迎えて折れてしまいました。
やむを得ず急遽インプラントを入れて回復しております(青矢印)。
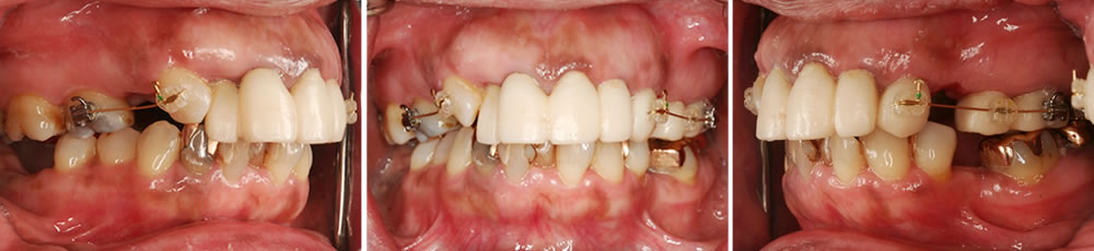
最終的なかぶせ物の装着・治療完了
上の前歯を先に完成させ、アンテリアガイダンスと呼ばれる前歯の角度を決定しました。
それを基準として、奥歯も順次完成していきました。
【アンテリアガイダンスとは】
前歯が噛み合わせを誘導して、奥歯に強い力がかからないようにする働き。
前歯を先に作成したことで、奥歯の形も理想的な形を追求することができました。奥歯の噛む面は真っ平ではなく山と谷のメリハリある解剖学的な形を実現できました。
これにより咀嚼効率が向上し、食べ物が咬みやすくなります。また、歯への負担も軽減することが期待できます。
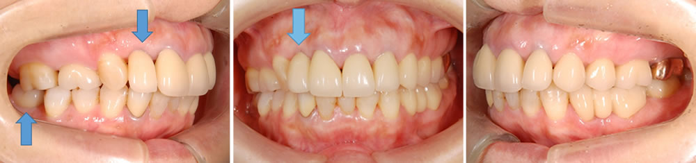
治療完了から8年後 経過観察
治療すべき全ての歯の治療が完成してから8年が経過した時点での写真です。
見た目、かみ合わせ、歯周病いずれもきれいに治っています。インプラントは上の前歯と下の奥歯にそれぞれ1本ずつ入っています。(青矢印)
また、初診時に腰痛がひどかったのが、かみ合わせが回復した時からすっかり良くなったそうです。歯と腰痛との因果関係は科学的には不明な点が多いのですが、かみ合わせを整えることは歯全体にも良いことですし、腰痛が回復するきっかけになったのであれば大変うれしく思います。
何より、患者さんが満面の笑みを浮かべて、何度も感謝してくださったことが私にとっても一番幸せな出来事でした。
| 年齢/性別 | 50代女性 |
|---|---|
| 治療期間 | 4年3ヵ月 |
| 治療回数 | 65回 |
| 治療費 | 矯正治療 925,819円(税込 1,018,400円) ファイバーコア 28,637円 (税込31,500円)×10本分 ジンマーインプラント手術 275,000円(税込302,500円)×2本分 メタルカスタムアバットメント 60,000円(税込66,000円)×2本分 オールセラミッククラウン(ジルコニアSクラス) 152,000円(税込 167,200円)×26本分 ゴールドクラウン1本 181,000円(税込 199,100円) |
| リスクなど | ・5~10%の確率で将来歯根が膿んでくる可能性がある。 ・ごく稀に、もともと歯根に亀裂が入っており、治療しても改善しない場合がある。 ・歯の神経が非常に細いケースでは、場合によって完全に根管が閉鎖して治療しきれないこともあり、その場合は治療の成功確率が下がる可能性がある。 ・歯根が曲がっている場合、治療器具が途中で破折するリスクが高まる。 【注意点】根管治療だけでは治療は完結しません。通常はこの後、土台とかぶせ物が必要となります。費用もその分追加になります。 |













