経年劣化で起こるCRの変色を極力抑えるよう考慮した症例
経年劣化で起こるCRの変色を極力抑えるよう考慮した症例
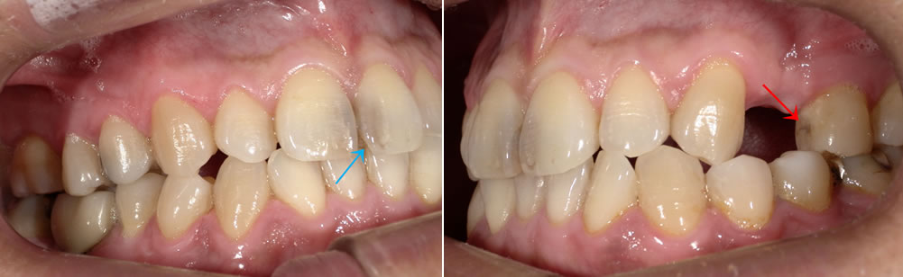
こちらの患者さんは「前歯の間の虫歯があり、黒ずんでいるのが前から見て気になる」ということで当院を受診されました。
→で示すように前歯2本はともに、 歯の1/3ほどを占めるような大きな虫歯になっています。治療法としては黒い虫歯を完全に除去してコンポジットレジン(CR)を詰めていきます。
※コンポジットレジンとは光で固まるプラスティック樹脂のことです。以下CRと記載します。
側方面観
横(側方)から見た虫歯の大きさです。側方から見ても前歯に黒く透けている大きな虫歯が認められます。
→のようにCRが表面に出たところは数年後にCRが変色して茶褐色になることが多いです(CRのデメリットである経年劣化で変色)。また患者さんからみて→の切縁部分は若干欠けています。ここだけはCRを盛り足す必要がありそうです。
CRでつめた前歯が経年劣化で変色する問題点を改善したい
歯の表面に見えているCRは、入れた直後はとてもきれいなのですが、変色により茶褐色になったり黄ばんでくることがたびたびあります。
●歯の表面を一層でも残して、直接前からCRした部位が見えないように裏側だけに詰められるようなら、経年劣化による変色をだいぶ防げる。
- 表面まで完全に虫歯になっている場合
表面の部分まで削らないといけない。 - 一層残せた場合
前歯の虫歯の周りにある健全歯質の着色部分が透けて見える場合は、着色部分をできる限り残しつつ削ることが大切なところになってきます。
歯の裏側から見た虫歯の大きさ
歯の裏側から虫歯を削っていくと唇の方向に向かって深い大きな虫歯になっていました。前の表面に到達しないよう、少しずつ削って虫歯を除去していきます。
虫歯除去後、虫歯は歯の裏側から前まで貫通はしてはいなかったので(ホッと一安心)、前から見える面を一層残して治療していけそうです。
着色部分をどこまで取り除くか
しかしながら、虫歯や虫歯になりかかっている部分を完全に除去したあとにも、大きくて経過の長い虫歯には周りに着色部分が存在します。
通常はその着色部分(着色象牙質)は切削しないのですが、前歯などの着色部分で前から透けてみえることがある場合は、その着色部分を必要に応じて少し削り、CRをつめていきます。
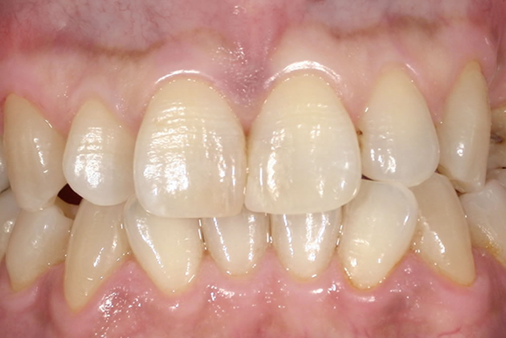
今回の症例では、着色の部分をさえぎる別のCR(オペーク色歯科用色調遮蔽材料)をつめ、その上から通常の色のCR充填を行いました。
その結果、裏側の着色部分(前述した虫歯ではない着色象牙質)が少し残っていても、前から見たときにはほとんどわかりにくく仕上がります。
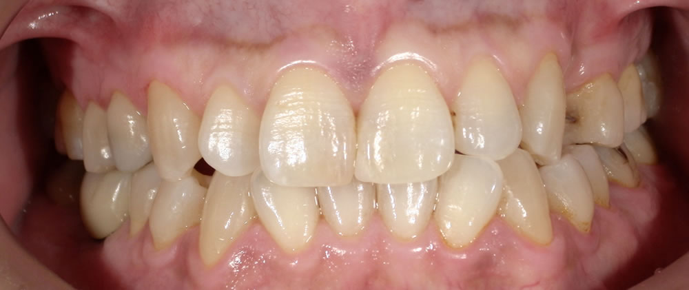
唇面に切削面が出ないようCR充填を実施
虫歯を完全に除去し、唇側の面の歯質を一層、意図的に残すことで最小限の切削にとどめるだけでなく、将来的にCRによる変色を防ぐことを目標に治療しました。
前歯に自信が持てると、たくさん笑顔が増えますね。
| 年齢/性別 | 50代男性 |
|---|---|
| 治療期間 | 1日 |
| 治療回数 | 1回 |
| 治療費 | 約2,000円(保険) |
| リスクなど | ・大きな虫歯のため治療後しみるなどの症状がでてくる場合は神経の処置になることがあります。 |










